Psychophysiologische Hyperventilation
Strömungslimitierung und dynamische Überblähung
Strömungslimitierung und dynamische Überblähung - 2
Strömungslimitierung - Präoperative Diagnostik
Diffusionsstörung und Restriktion
Diffusionsstörung und Verteilungsstörung
Patent Foramen Ovale in Usual Interstitial Pneumonitis
Diffusionsstörung und Restriktion
Diffusionsstörung, V.a. pulmonale Hypertonie und V.a. PFO
Herzinsuffizienz - Undulation der Ventilation / Sauerstoffaufnahme
Pulmonale Sarkoidose mit V.a PAH
Marathonläufer - Dekonditionierung und erschöpfter Bicarbonatpuffer ?
In Bearbeitung befinden sich weitere Case Reports. Sie werden eingestellt, sobald ich dafür Zeit erübrigen kann.
zum Inhaltsverzeichnis zur Start-Seite
Marathonläuferin
Eine 44-jährige Marathonläuferin beklagt, dass unter Wettkampfbedingungen nach mehreren Stunden eine Dyspnoe und Leistungsminderung auftrete. Dies habe teilweise zum Abbruch des Wettkampfs geführt. Dann habe sie pfeiffende Atemgeräusche bemerkt.
Der körperliche Befund, die Ruhe-Spirometrie, Diffusionsmessung und Blatgasanalyse sind normal. Es wird eien Fahrradergometrie im Sitzen, beginnend mit 20 Watt und dann Rampen-Steigerung um 25 Watt / min durchgeführt. Nach 10:38 Minuten Abbruch unter einer Last von 255 Watt wegen Dyspnoe. Der Röntgen-Thorax ist unauffällig.
Grafik 3: Die Gesamtleistungsfähigkeit ist oberhalb der Norm (VO2 = 135% der Norm).
Grafik 9: Normoxämie, normale AaDO2. Kein Hinweis auf Diffusionsstörung oder Verteilungsstörung.
Grafik 7: normales Atemmuster, siehe auch Strömungsanalyse weiter unten.
Grafik 6: normale Atemäquivalente. Ökonomische Ventilation, keine relative Hyperventilation.
Grafik 2: normaler Anstieg des O2-Pulses. Keine LV-Funktionsstörung.
Die Strömungsanalyse ergibt keinen Hinweis auf eine Strömungslimitierung oder eine dynamische Überblähung.
Zusammenfassend ist in dieser Einzelmessung keine Einschränkung zu dokumentieren. Die gewichtsbezogene Leistungserbringung liegt mit VO2/kg = 40.5 ml/min/kg hoch. Ein Vergleich mit einer Voruntersuchung (5 Jahre zuvor) zeigt, dass der Trainingszustand damals noch besser war (VO2/kg = 53.1 ml/min/kg). Möglich, aber nicht dokumentiert, erscheint eine belastungsinduzierbare bronchiale Obstruktion. Diese könnte evtl. durch ein mobiles Spirometer oder ein peak-flow meter gemessen werden. Probatorisch könnte ein inhalatives Beta-Mimetikum gegeben werden.
Dr. Holger Klee, 7 / 2012
zum Inhaltsverzeichnis zur Start-Seite
zum Inhaltsverzeichnis zur Start-Seite
Marathonläufer
Zum Vergleich hier ein weiterer Marathonläufer mit einer hohen Leistungsfähigkeit. Die anaerobe Schwelle wird erst oberhalb der erwarteten maximalen Sauerstoffaufnahme erreicht !
Dr. Holger Klee, 8 / 2012
zum Inhaltsverzeichnis zur Start-Seite
Psychophysiologische Hyperventilation
Wegen erheblicher Belastungsdyspnoe stellt sich ein 75-jähriger Patient ambulant zur Klärung vor. Schon nach 10 Metern Gehstrecke bestehe eine Luftnot, die zum Stehenbleiben zwinge. Kein Husten, kein Auswurf, keine Thorax-Schmerzen, keine Allgemeinverschlechterung, keine Nikotinanamnese, keine regelmäßige Medikation. Der körperliche Untersuchungsbefund isst unauffällig.
Der Röntgen-Thoarx ist altersentsprechend unauffällig.
Wegen erhöhten D-Dimeren wird zum Ausschluss einer Lungenembolie ein Thorax-CT mit Rekonstruktion der Gefäße erstellt. Der Befund ist unauffällig.
Die Klärung der erhebliche Belastungsdyspnoe wird mittels Spiroergometrie angestrebt. Es wird eine Fahrradergametrei im Sitzen durchgeführt, beginnend mit 0 Watt für 2 Minuten und dann Rampen-Steigerung um 105 Watt / min. Nach 12:47 Minuten Abbruch unter einer Last von 126 Watt wegen Dyspnoe (Borg 6/10).
Grafik 3: Die Gesamtleistungsfähigkeit ist noch normal (VO2 = 82% der Norm).
Grafik 9: Normoxämie , normale AaDO2. Keine Diffusionsstörung, keine Verteilungsstörung.
Grafik 7: normales Atemmuster.
Grafik 6: unter niedriger Last stark erhöhte Atemäquivalente. Sowohl VE/VO2 als auch VE/VCO2 steigen gleichzeitig an. Psychophysiologische Hyperventilation. Später normaler Anstieg von VE/VO2 oberhalb der anaeroben Schwelle (VT1).
Grafik 2: normaler Anstieg des O2-Pulses.
Zusammenfassend konnte kein organisches Korellat für die erhebliche subjektiv empfundene Belastungsdyspnoe gefunden werden. In de Spiroergometrie wurde eine Phase mit starker psychophysiologischer Hyperventilation (Atemäquivalente über 60!) dokumentiert werden.
Dr. Holger Klee, 7 / 2012
zum Inhaltsverzeichnis zur Start-Seite
zum Inhaltsverzeichnis zur Start-Seite
Strömungslimitierung und dynamische Überblähung
Ein 60-jähriger Patient mit eine Nikotinanamnese von 80 pack-years stellt sich vor wegen Belastungs-Dyspnoe zur differentialdiagnostischen Abklärung. Vorbekannt sind typische kardio-vaskuläre Folgeerkrankungen des Nikotinabusus: koronare Herzerkrankung, linksführende Myokardinsuffizienz, intermittierendes Vorhofflimmern und Z.n. kardio-embolischem Mediainsult ohne zurückbleibende Parese.
Der körperliche Befund zeigt teifstehende Lungengrenzen und bds. hypersonoren Klopfschall sowie Giemen. Eie Ruhe-Spirometrie ergibt eine schwere Ruheobstruktion und Überblähung (VC 3.8l, FEV1 1.35l = 37% der VC, ITGV 7.4 l = 203% des Solls). Die Blutgasanalyse ist normal. Zur diffferentialdiagnostischen Klärung der Belastungsdyspnoe wird eine Fahrradergometrie im Sitzen durchgeführt, beginnend mit 0 Watt für 2 Minuten (unloaded paddeling) und dann Rampen-Steigerung um 10 Watt / min durchgeführt. Nach 7:24 Minuten Abbruch unter einer Last von 72 Watt wegen Dyspnoe (Borg 6/10).
Grafik 3: Die Gesamtleistungsfähigkeit ist schwergradig vermindert (VO2 =50% der Norm).
Grafik 9: mittelschwere belastungsinduzierbare Hypoxämie PO2min 53 mmHg, erhöhte AaDO2 bis 47 mmHg. Verteilungsstörung.
Grafik 7: obstruktives Atemmuster, siehe auch Strömungsanalyse weiter unten.
Grafik 6: erhöhte Atemäquivalente. Keine Ökonomisierung der Ventilation, relative Hyperventilation.
Grafik 2: normaler Anstieg des O2-Pulses. Keine LV-Funktionsstörung. Weiterhin in Grafik 3: Keine Undulation der Sauerstoffaufnahme. Ebenfalls kein Hinweis auf LV-Funktionsstörung.
Nicht gezeigt: EKG ohne Änderung zum Ruhe-EKG, keine ST-Streckenveränderungen.
Die Strömungsanalyse (leider keine Ruhespirometrie als Referenz ausgedruckt) zeigt eine Strömungslimitierung und eine dynamische Überblähung. Das EELV steigt im Vergleich von Ruhephase (rechts oben) zur maximalen Last (unten rechts) an. (Das EELV ist leider nicht korrekt gekennzeichnet.)
Zusammenfassend kann gezeigt werden, dass die beklagte Belastungsdyspnoe folge der pathologischen Ventilation ist mit Strömungslimitierung und dynamischen Überblähung. Eine coronare Minderperfusion oder eine funktionell wirksame Myokardinsuffizienz konnte nicht nachgewiesen werden.
Dr. Holger Klee, 7 / 2012
zum Inhaltsverzeichnis zur Start-Seite
zum Inhaltsverzeichnis zur Start-Seite
Strömungslimitierung und dynamische Überblähung - 2
Zum Vergleich hier nochmals ein Patient mit COPD. Man sieht eine eingeschränkte Leistungsfähigkeit.
Die Strömungsanalyse zeigt eine typische Ruhe-Spirometrie mit rasch abfallendem exspiratorischem Fluss.
Unter Belastung übersteigt der Exspirations-Fluss den Fluss der forcierten Exspiration in Ruhe um mehr als 150%. Die Strömungskurve unter Belastung zeigt auch eine "Dachziegelform". Das bezeichnet zusammen man als Strömugnslimitierung. Die Atemschleife verschiebt sich weiterhin "nach links". Das heißt das End-Exspiratorische Lungen-Volumen EELV (entspricht dem ITGV in Ruhe) nimmt zu. Oder umgekehrt ausgedrückt: die inspiratorische Kapazität nimmt ab.
Dr. Holger Klee, 8 / 2012
zum Inhaltsverzeichnis zur Start-Seite
Strömungslimitierung - präoperative Diagnostik
Bei einem 62-jährigen Patienten mit eine Nikotinanamnese von 90 pack-years wird die Erstdiagnose eines Plattenepithel-Broncialcarcioms gestellt. Radiologisch stellt sich ein kleiner Rundherd links zentral dar. Im PET-CT fanden sich keine Hinweise auf eine Fernmetastasierung.
Zur Klärung des perioperativen Risikos wird eine Spiroergometrie durchgeführt. Es wird eine Fahrradergometrie im Sitzen durchgeführt, beginnend mit 20 Watt und dann Rampen-Steigerung um 10 Watt / min durchgeführt. Nach 9:40 Minuten Abbruch unter einer Last von 112 Watt wegen Dyspnoe (Borg 6/10).
(Anmerkung: Interanationaler Standard ist der Beginn mit einer etwa zweiminüten Phase der Belastung ohne Last. Standards sollte man prinzipiell beachten. Dennoch: Eine Ergometrie ohne Last ist technisch nicht durchführbar. Die minimale Last ist ergometer-abhängig. Bei unserem Fabrikat liegt die Eigenlast der Ergometerkurbel bei 17 Watt. Bei der präoperativen Diagnostik ist die maximal erreichbare Leistungsfähigkeit entscheidend. Daher beginnen wir unter dieser Fragestellung stets mit 20 Watt. Und sparen so 4 Minuten kostbare klinische Arbeitszeit.)
Grafik 3: Die Gesamtleistungsfähigkeit ist grenzwertig vermindert (VO2 = 88% der Norm).
Grafik 9: leichte belastungsinduzierbare Hypoxämie PO2min 64 mmHg, erhöhte AaDO2 bis 45 mmHg. Verteilungsstörung.
Grafik 7: obstruktives Atemmuster, siehe auch Strömungsanalyse weiter unten.
Grafik 6: leicht erhöhte Atemäquivalente. Nicht ganz optimale Ökonomisierung der Ventilation.
Grafik 2: normaler Anstieg des O2-Pulses. Keine LV-Funktionsstörung.
In der Strömungsanalyse sieht man im Vergleich zur forcierten Exspiration in Ruhe (blau) einen höheren Exspirationsfluss (rot). Verglichen wird bei der MEF-50, d.h. beim halben Exspirationsvolumen (mittlerer Punkt der eckigen Norm-Kurve). Hier liegt liegt die rote Belastungsströmung >150% über der blauen forcierten Ruheströmung. Weiterhin beurteilt man die Belastungsströmung der Form nach. Normal ist eine querovale Form der Strömungskurve. Hier ist der Exspirationsteil (oberhalb der Null-Linie) dachziegelartig nach rechts hin abgeflacht. Beides spricht für eine Strömungslimitierung.
Das EELV steigt von der Ruhephase bis zur maximalen Belastung hin nicht an. Keine dynamische Überblähung.
Zusammenfassend besteht eine allenfalls geringe Einschränkung der Leistungsfähigkeit (VO2max. 88% des Solls). Ist der Patient mit vertretbarem Risiko operabel ?
Bei zentralem Tumor wird voraussichtlich eine Pneumektomie erforderlich werden. Die berechnete postoperative Leistungsfähigkeit wird also ppopVO2max. = 88% x 50% = 44% des Solls betragen. Eine vertretbares Operationsrisiko wird angenommen, wenn die ppopVO2max. größer als 40%, mindestens jedoch größer als 35% liegt. Es bestehen demnach aus funktionellen Gründen keine Kontraindikation für eine Pneumektomie.
Dr. Holger Klee, 7 / 2012
zum Inhaltsverzeichnis zur Start-Seite
zum Inhaltsverzeichnis zur Start-Seite
Diffusionsstörung und Restriktion Beinaheertrinken in Süßwasser
Ein 57-jähriger Patient beklagt Dyspnoe bei größerer Belastung, wie z.B. alpinem Bergwandern. Keine Nikotinanamnese, kein Husten oder Auswurf. In der Ruhelungenfuktion imponiert eine Restriktion, keine Obstruktion (VC 2.4 l = 58% des Solls, FEV1 2.1 = 87% der VC).
Radiologisch stellen sich bds. basal Verdichtungen dar, die sich im Thorax-CT als Bronchiektasen erweisen.
Das strikt basale Verteilungsmuster und die fehlende Symptomatik mit rezidivierenden Infekten sind ungewöhnlich. Nach längerem Nachfragen ergibt die weitere Anamnses ein Beinaheertrinken in der Kindheit. Der damals 7-jährige Patient war in ein Hafenbecken gefallen und hatte vorwiegend aufrecht im / unter Wasser treibend Süßwasser aspiriert. Dies erklärt die ungewöhnliche strikt basale Lokalisation und die über Jahrzehnte geringe klinische Symptomatik.
Zur genauen Klärung des klinischen Einschränkgung wird eine Spiroergometrie im Sitzen durchgeführt, beginnend mit 0 Watt für 2 Minuten und dann Rampen-Steigerung um 10 Watt / min. Nach 14:00 Minuten Abbruch unter einer Last von 116 Watt wegen peripherer Erschöpfung (Borg 7/10).
Grafik 3: Die Gesamtleistungsfähigkeit ist mittelgradig vermindert (VO2 = ca. 66% der Norm).
Grafik 9: in Ruhe grenzwertige Hypoxämie mit Zunahme unter Belastung, PO2min. 40 mmHg. Hohe und unter Belastung zunehmende AaDO2. Dabei zunehmende Hyperkapnie. Diffusionsstörung und Verteilungsstörung, mit partieller Adaption, erkenntlich an einer permissive Hyperkapnie.
Grafik 7: restriktives Atemmuster.
Grafik 6: normale Atemäquivalente. Keine wesentliche relative Hyperventilation.
Grafik 2: flacher Anstieg des O2-Pulses. Der Normbereich wird nicht erreicht infolge der insgesamt verminderten Leistungsfähigkeit.
Zusammenfassend konnte gezeigt werden, dass eine schwere Diffusions- und Verteilungsstörung besteht mit schwerer belastungsinduzierbarer Hypoxämie. Es hat eine jahrzehntelange Adaption an die schwere Hypoxämie stattgefunden, ersichtlich an der permissiven Hyperkapnie.
Eine bronchiale Obstruktion überaus häufig bei Bronchiektasen-Erkrankungen besteht nicht.
Dr. Holger Klee, 7 / 2012
zum Inhaltsverzeichnis zur Start-Seite
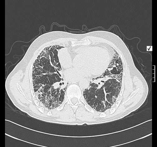
Diffusionsstörung und Verteilungsstörung
Ein 62-jähriger Patient beklagt eine zunehemnde Belastungsdypnoe. Ein Jahr zuvor wurde ein Nierenzellkarzinom operiert. Es bestehen weiterhin kardiovaskuläre Erkrankungen (KHK, Hypertonus, Diabetes mellitus, Hypercholesterinämie, chronische Niereninsuffizienz).
Radiologisch stellt sich eine interstitielle Lungenerkrankung dar. Man sieht eine peripher und unterlappen-betonte retikuläre Zeichnungsvermehrung mit Unterlappenschrumpfung. Im HRCT ungleich verteilte, peripher betonte retikuläre Zeichnugnsvermehrung mit Honigwaben-Muster, beginnende Traktionsbronchiektasen, Pleuraverdickung, keine Milchglas-Infiltrate. Zusammenfassen lassen sich die radiologischen Befunde sehr gut mit einer idiopathischen pulmonalen Fibrose IPF/UIP vereinbaren.
Zur Abschätzung der funktionellen Beeinträchtigung und zur Abgrenzung einer möglichen coronaren Ischämie wird eine Spiroergometrie im Sitzen durchgeführt, beginnend mit 0 Watt für 2 Minuten und dann Rampen-Steigerung um 5 Watt / min. Nach 14:15 Minuten Abbruch unter einer Last von 70 Watt wegen Dyspnoe (Borg 7/10).
Grafik 3: Die Gesamtleistungsfähigkeit ist stark vermindert (VO2 = 55% der Norm).
Grafik 9: schwere belastungsinduzierbare Hypoxämie PO2min 39 mmHg, erhöhte und zunehmende AaDO2 bis 68 mmHg. Diffusionsstörung und Verteilungsstörung mit schwerer Hypoxämie.
Grafik 7: kein typisches Restriktives Atemmuster, siehe auch Strömungsanalyse weiter unten.
Grafik 6: leicht erhöhte Atemäquivalente. Relative Hyperventilation.
Grafik 2: normaler Anstieg des O2-Pulses. Der Normbereich wird bei insgesamt verminderter Leistungsfähigkeit nicht erreicht.
Die Strömungsanalyse zeigt eine Strömungslimitierung, jedoch kein restriktives Atemmuster. Keine dynamische Überblähung.
Zusammenfassend besteht stellt sich eine schwergradig verminderte Leistungsfähigkeit dar (VO2max. 55% des Solls) infolge einer Diffusionsstörung und Verteilungsstörung, die zu einer schwergradigen Hypoxämie führt. Weiterhin besteht eine Strömungslimitierung (obstruktive Ventilationsstörung). Die vorbekannten Herzerkrankungen bis hierhin sind funktionell nicht relevant.
Dr. Holger Klee, 7 / 2012
zum Inhaltsverzeichnis zur Start-Seite
zum Inhaltsverzeichnis zur Start-Seite
Restriktion
Zum Vergleich nochmals ein Patient mit fibrosierender Lungenerkrankung und restriktivem Atemmuster. Man sieht in Grafik 7, das Ventilationsvolumen Vt nimmt zunächst rasch zu. Danach kann die Vt nicht weiter gesteigert werden. Um das Atemzeitvolumen VE steigern zu können, wird die Atemfrequenz rasch erhöht.
Dr. Holger Klee, 8 / 2012
Patent Foramen Ovale in Usual Interstitial Pneumonitis
zum Inhaltsverzeichnis zur Start-Seite
A 57-year-old patient was referred to our clinic because of unproductive cough and progressive dyspnea. High-resolution computertomography (Panel A) showed irregular reticular pattern (a), honey combing (b), pleural thicking (c), bronchiectasis (d) and was therefore highly suggestive of usual interstitial pneumonitis (UIP) (1,2). Because medical therapy (corticosteroids, acetlycysteine and azathioprin) could not stop disease progression, the patient was referred for bilateral lung transplantation (B-LTX).
Bild nicht vorhanden
Panel A Panel B
Preoperative cardio-plumonary exercise test (CPX) showed an abrupt increase in breathing frequency and breathing equivalent for CO2 (VE/VCO2) near peak exercise. (Panel B) This finding is diagnostic for right-to-left shunt via patent foramen ovale and high right atrial pressure. An abrupt increase in arterial CO2 leads reflectory to an instant increase in ventilation. Patent foramen ovale is one of the diagnoses, which can be made by CPX alone (3).
The postoperative course was uneventful and the patient is doing well two years after B-LTX.
Bild nicht vorhanden
WASSERMANN-9-panel-plot
Panel C: Cardio-pulmonary exercise test: Symptome limited CPX was done with continusly increasing work rate (5 W/min) in while sitting. The results are presented according to the WASSERMANN-9-panel-plot. Panel 3 showes a decreased maximal oxygen uptake. Panel 7 is typical for a retrictive lung dysfunction with decreased tidal volume (VT), high breathing frequency (BF) and negative breathing reserve (BR). Panel 9: Progressive hypxoemia and increasing alveolar-arterial diffusion gradient for oxygen (AaDO2) are signs of diminished diffusion capacity and/or ventilation-perfusion-mismatch. Note the drop in PETCO2 at peak excersice. Panel 6 shows an abrupt increase in breathing equivalent for CO2 (EqCO2 = VE/CO2), which is diagnostic for an exercise induced right-to-left-shunt through patent foramen ovale.
(1) Katzenstein AL, Myers JL Idiopathic pulmonary fibrosis: clinical relevance of pathologic classification. Am J Respir Crit Care Med 1998;157:1301-1315. Free full text
(2) Hunninghake GW, et al. Radiologic Findings Are Strongly Associated With a Pathologic Diagnosis of Usual Interstitial Pneumonia. Chest 2003;124:1215-23. Free full text
(3) Wasserman K, et al. Patent Foramen Ovale with Development of a Right to Left Shunt During Exercise. In: Princiles of Exrcise Testing an Inperpretation (3rd Ed.) Baltimore: Lippincott Williams & Wilkins, 1999:189f. amazon.de
(4) Sun X-G, et al. Gas Exchange Detection of Exercise-Induced Right-to-Left Shunt in Patients With Primary Pulmonary Hypertension. Circulation. 2002;105:54. Free full text
Dr. Holger Klee, 3 / 2007
zum Inhaltsverzeichnis zur Start-Seite
zum Inhaltsverzeichnis zur Start-Seite
Diffusionsstörung und Restriktion
Ergänzend erkennt man in Grafik 9 (hier nochmal mit eingetragenen kapillären Blutgasanalysen) den rasch und zunehmend abfallenden Sauerstoffpartialdruck. Die AaDO2 ist vergrößert und nimmt rasch weiter zu. Das ist für eine Diffusionsstörung typisch.
In der Strömungsanalyse sieht man, dass die Vitalkapazität unter Belastungsbedingungen vollständig ausgeschöpft wird. - Es kann im wahrsten Sinne des Wortes nicht tiefer Luft geholt werden.
Hier zum Vergleich der selbe Patient in einer Folgeuntersuchung zwei Jahr später. Die Leistungseinschränkung hat deutlich zugenommen. Die Atemäquivalente für Sauerstoff und Kohlendioxid liegen über 40 - Diffusionsstörung und Verteilungsstörung. In Grafik 7 sieht man ein sehr kleines Atemzugvolumen und eine rasch einsetzende hohe Atemfrequenz > 50 /min.
Dr. Holger Klee, 8 / 2012
zum Inhaltsverzeichnis zur Start-Seite
Diffusionsstörung, V.a. pulmonale Hypertonie und V.a. PFO
Ein 62-jähriger Patient berichtet über progrediente Belastungsdyspnoe, Reizhusten aber kein Auswurf, keine Thorax-Schmerzen. Vorbekannt ist eine coronare Herzkrankheit, ein arterieller Hypertonus und ein Diabetes mellitus. Auskultatorisch imponiert bei hochstehenden Zwerchfellen Knisterrasseln und Sklerosiphonie.
Radiologisch findet sich eine bds. unterlappen- und peripher betonte retikuläre Zeichnungsvermehrung mit Unterlappen-Schrumpfung.
Im HRCT ebenfalls eine diskontinuierlich verteilte, peripher- und unterlappen-betonte retikuläre Zeichnungsvermehrung mit Pleuraverdickung, Honig-Waben-Muster und beginnenden Traktionsbronchiektasen.
Der radiologische Befund ist sehr gut mit einer idiopathischen pulmonalen Fibrose IPF / UIP vereibar.
In Ruhe findet sich eine Restriktion und eine Diffusionsstörung. VC 3.2 l (73%), FEV1 2.6, TLC 5.3 (90%), R 0.2, TLCO/VA 49%. In Ruhe besteht schon eine respiratorische Partialinsuffizienz PO2 52 mmHg, PCO2 35 mmHg.
Es wird eine Fahrradergometrie im Sitzen durchgeführt, beginnend mit 0 Watt für 2 Minuten und dann Rampen-Steigerung um 20 Watt / min. Nach 8:49 Minuten Abbruch unter einer Last von 132 Watt wegen Luftnot, Borg 7/10.
Grafik 3: Die Gesamtleistungsfähigkeit ist mittelgradig vermindert (VO2 = 69 % der Norm).
Grafik 9: in Ruhe noch Normoxämie, unter Belastung Hypoxämie, PO2min. 40 mmHg, hohe und ansteigende AaDO2max. 74 mmHg. PETCO2 um 24 mmHg. Diffusionsstörung und schwere belastungsinduzierbare Hypoxämie.
Grafik 7: normales Atemmuster.
Grafik 6: Die Atemäquivalente steigen bei ca. 70 Watt abrupt an und sind dann deutlich erhöht. Relative Hypoventilation.
Grafik 4: Dem entsprechend hohe Steigung von VE gegen VCO2.
Grafik 2: normaler Anstieg des O2-Pulses. Der Normbereich wird nicht erreicht.
Zusammenfassend liegt bei interstitielle Lungenerkrankung (passend zu IPF/UIP) eine Leistungseinschränkung vor infolge Diffusionsstörung (hohe AaDO2) mit schwerer belastungsinduzierbarer Hypoxämie. Ein erniedrigstes PETCO2 kann als Hinweis auf eine sekundäre pulmonale Hypertonie gelten. Der abrupte simultane Anstieg beider Atemäquivalente könnte evtl. ein Hinwein auf ein persistierendes Foramen ovale sein, dass unter Belastung funktionell relevant wird.
Funktionell nicht relevant fanden sich eine restriktive Ventilationsstörung (Grafik 7 normal). Weiterhin ergab sich kein Hinweis auf eine coronare Minderperfusion (Grafik 2 nicht pathologisch).
Dr. Holger Klee, 7 / 2012
zum Inhaltsverzeichnis zur Start-Seite
Obstruktive und restriktive Ventilationsstörung, Adipositas-Hypoventilation
Ein 66-jähriger Patient mit deutlichem Übergewicht (180 cm, 103 kg, BMI 32 kg/qm) mit bekannter chronisch obstruktiver Lungenerkrankung und von der Berfusgenossenschaft anerkannter Pleuraasbestose beklagt Belastungsdyspnoe.
Radiologisch stellt sich eine Verschattung links basal dar, welche sich im Thorax-CT einer Pleuraverbreiterung zuordnen lässt. Weiterhin kommen dem Zwerchfell aufliegende verkalkte, tafelbergartige Pleuraplaques zur Darstellung, welche typisch für Asbest-Plaques sind.
Um die funktionelle Ursache der Luftnot zuzuordnen wird wird eine Spiroergometrie durchgeführt im Sitzen, beginnend mit 0 Watt für 2 Minuten und dann Rampen-Steigerung um 20 Watt / min. Nach 6:30 Minuten Abbruch unter einer Last von 124 Watt wegen Dyspnoe (Borg 6/10).
Grafik 3: Die Gesamtleistungsfähigkeit ist leicht vermindert (VO2 = 71% der Norm).
Grafik 9: Leichte belastungsinduzierbare Hypoxämie PO2min. 51 mmHg, ansteigende AaDO2max. 45 mmHg. Persistierende Hyperkapnie PCO2 um 50 mmHg. PETCO2 auf 51 mmHg ansteigend. Alveoläre Hypoventilation und wohl Verteilungsstörung.
Grafik 4: Steigung von VE gegen VCO2 eher flach. relative Hypoventilation.
Grafik 7: restriktives Atemmuster mit kleinem Atemzugvolumen.
Grafik 6: normale Atemäquivalente.
Grafik 2: normaler Anstieg des O2-Pulses ohne Plateau-Bildung. Der Normbereich wird nicht erreicht bei insgesamt eingschränkter Leistungsfähigkeit.
In der Strömungsanalyse sieht man sowohl eine Obstruktion schon in Ruhe (oben links). Bei maximaler Last (unten rechts) überschreitet die Strömung (rot) die Strömung bei forcierter Exspiration in Ruhe (blau). Die Belastungs-Exspirationsströmung ist dachziegelartig abgeflacht. Strömungslimitierung.
Zusammenfassend besteht der typische Befund einer alveoläre Hypoventilation z.B. bei Adipositas mit relativer Hypoventilation (gegen VCO2), konsekutiv hohem PETCO2 und Hyperkapnie. Weiterhin mäßige belastungsinduzierbare Hypoxämie. Nebenbefundlich besteht eine Strömungslimitierung. Gutachterlich schwierig zu interpretieren wäre, ob die restriktive Funktionsstörung, welche der alveoläre Hypoventilation zugrunde liegt ausschließlich der Adipostias oder auch teilweise der asbest-assoziierten Pleuraschwarte zuzuordnen ist.
Dr. Holger Klee, 7 / 2012
zum Inhaltsverzeichnis zur Start-Seite
Coronare Minderperfusion
Wegen eines Plattenepithel-Bronchialcarcinoms wird bei einem 69-jährigen Patienten (70 pack-years) eine präoperative Diagnostik durchgeführt.
Radiologisch stellt sich ein Tumor im rechten Oberlappen dar. Im Thorax-CT reicht die Raumforderung bis ans Mediastinum heran. Im PET-CT zeigen gleichseitige mediastinale Lymphknoten keine vermehrte Aktivitätsanreicherung. Hinweise auf Fernmetastasen finden sich nicht.
Es wird eine Spiroergometrie im Sitzen durchgeführt, beginnend mit 20 Watt und dann Rampen-Steigerung um 20 Watt / min. Nach 7:30 Minuten Abbruch unter einer Last von 82 Watt wegen Dyspnoe (Borg 6/10).
Grafik 3: Die Gesamtleistungsfähigkeit ist vermindert (VO2 = ca. 70% der Norm). Nach Abbruch der Belastung deutliches Überschießen der Sauersoffaufnahme.
Grafik 9: Normoxämie, normale AaDO2. Keine Diffusionsstörung, keine Verteilungsstörung.
Grafik 7: normales Atemmuster.
Grafik 6: normale Atemäquivalente. Keine wesentliche relative Hyperventilation.
Grafik 2: flacher Anstieg des O2-Pulses. Der Normbereich wird nicht erreicht. Zuletzt leicht Abnahme des Os-Pulses. Nach Abbruch Überschießen des O2-Pulses.
Zusammenfassend besteht stellt sich ein typischer Befund für eine belastungsinduzierbare LV-Funktionsstörung (d.h. coronare Minderperfusion) dar. Mangelnder Anstieg des O2-Pulses bis unterhalb des Normbereiches, zuletzt sogar Abfall. Nach Abbruch Überschießen von O2-Puls und O2-Aufnahme.
Die Spiroergometrie ist sensitiver als das Belastungs-EKG. Der Patient war während der Untersuchung beschwerdefrei. Das Ruhe EKG zeigt eine Vorderwand-Narbe (unten). Unter Belastung keine zusätzlichen ST-Streckenveränderungen. Ein Belastungs-EKG wäre also negativ verlaufen.
Dr. Holger Klee, 7 / 2012
zum Inhaltsverzeichnis zur Start-Seite
Herzinsuffizienz - Undulation der Ventilation / Sauerstoffaufnahme
Bei Patienten mit symptomatischer Herzinsuffizienz erkennt man (manchmal) eine typische Undulation des Atemzeitvolumens und infolge dessen auch der Sauerstoffaufnahme, des O2-Pulses und der Atemäquivalente. Weiterhin natürlich eine Einschränkung der maximalen Leistungsfähigkeit (VO2max reduziert in Grafik 3).
Dr. Holger Klee, 8 / 2012
zum Inhaltsverzeichnis zur Start-Seite
Pulmonale Hypertonie
Ein 73-jähriger Patient beklagt progrediente Belastungsdyspnoe, Husten und Schwindel bei bekannter schwerer chronisch obstruktiver Lungenerkrankung. Es wird eine Sauerstofflangzeittherapie durchgeführt (2 l/min in Ruhe und 3 l/min bei Belastung).
Radiologisch stellen sich tiefstehende und abgeflachte Zwerchfelle bds. dar und eine auf 2 cm verbreiterte rechte Pulmonalearterie.

Das Ruhe-EKG zeigt unspefizische Erregungsrückbildungssstörungen und eine Rechtsverspätung.
Es wird eine Spiroergometrie unter dem Verdacht einer sekundären pulmonalen Hypertonie durchgeführt im Sitzen, beginnend mit 20 Watt und dann Rampen-Steigerung um 7.5 Watt / min. Nach 6:00 Minuten Abbruch unter einer Last von 56 Watt wegen peripherer Erschöpfung (Borg 7/10).
Grafik 9: Belastungsinduzierbare schwergradige Hypoxämie PO2min. 41 mmHg, hohe und ansteigende AaDO2max. 69 mmHg. PETCO2 auf 20 mmHg erniedrigt. Diffusionsstörung, Verteilungsstörung, V.a. pulmonale Hypertonie.
Grafik 7: normales Atemmuster.
Grafik 6: hohe Atemäquivalente, VE/VCO2 > 60 (Dem entspricht die Steigung in Grafik 4). Relative Hyperventilation.
Grafik 2: zunächst normaler Anstieg des O2-Pulses. Der Normbereich wird nicht erreicht. Zuletzt leicht Abnahme des Os-Pulses.
In der Strömungsanalyse keine Strömunglimitierung und keine dynamische Überblähung.
Zusammenfassend stellt sich ein typischer Befund einer schwergradigen pulmonalen Hypertonie dar mit eingeschränkter VO2max, erniedrigtem PETCO2, hohen Atemäquivalent für CO2 (hoher Steigung von VE/CVO2) und schwerer belastunsginduzierbarer Hypoxämie mit hoher AaDO2. Möglicherweise besteht zusätzlich eine belastungsinduzierbare LV-Funktionsstörung (abfallender O2-Puls).
Mittels Rechtsherzkatheter wurde eine schwere PAH bestätigt und eine entsprechende Therapie eingeleitet. Im Kardio-MRT konnte keine LV-Funktionsstörung nachgewiesen werden.
Dr. Holger Klee, 7 / 2012
zum Inhaltsverzeichnis zur Start-Seite
Belastungsinduzierbare Pulmonale Hypertonie
Ein 75-jähriger Raucher mit Z.n. Oberlappenresektino links wegen Plattenepithel-Bronchialcarciom und metastasiertem Adeno-Bronchialcarcinom rechts (Zweitcarciom) schildert eine zunehmende Belastungsdyspnoe.
Radiologisch kommt eine verbreiterte Pulmonalarterie zur Darstellung.
Zur Klärung der klinischen Symptomatik wird eine Spiroergometrie durchgeführt im Sitzen, beginnend mit 0 Watt für 2 Minuten und dann Rampen-Steigerung um 15 Watt / min. Nach 5:53 Minuten Abbruch unter einer Last von 54 Watt wegen Dyspnoe (Borg 7/10).
Grafik 3: Die Gesamtleistungsfähigkeit ist stark vermindert (VO2 = 51% der Norm).
Grafik 9: Noch keine sichere belastungsinduzierbare Hypoxämie PO2min. 69 mmHg mit Abfall von 14 mmHg, hohe und ansteigende AaDO2max. 56 mmHg. PETCO2 auf 22 mmHg erniedrigt. Diffusionsstörung, Verteilungsstörung, V.a. pulmonale Hypertonie.
Grafik 7: normales Atemmuster.
Grafik 6: hohe Atemäquivalente, VE/VCO2 um 55 (Dem entspricht die Steigung in Grafik 4). Relative Hyperventilation.
Grafik 2: verzögerter Anstieg des O2-Pulses. Der Normbereich wird nicht erreicht.
Zusammenfassend ist der Befund mit einer belastungsinduzierbaren pulmonalen Hypertonie vereinbar. Eine Indikation zur medikamentösen Therapie stellt sich bei der pulmonalen Belastungshypertonie und Normwerten in Ruhe nicht.
Dr. Holger Klee, 7 / 2012
zum Inhaltsverzeichnis zur Start-Seite
Pulmonale Sarkoidose mit V.a. PAH
Eine 65-jährige Patientin beridhtet über Belastungsdyspnoe und unproduktiven Reizhusten.
Radiologisch stellt sich bds. disseminierte z.T. auch narbig imponierende Infiltrate ohne Respektierung von anatomischen Grenzen und mit Pleuraverbreiterungen dar. Mediastinale Lymphknoten sind vergrößert.
In einer PE eines kutanen Knotens wurden epitehloidzellige Granulome nachgewiesen, ebenso in einer peripheren Lungen-PE. Die BAL ergab eine Neutrophilie (25%). Der TB-SPOT war nicht reaktiv. Somit wurde die klinische Diagnose einer Sarkoidose gestellt.
Zur Objektivierung der Lesitungseinschränkung wird eine Spiroergometrie im sitzen durchgeführt, beginnend mit 20 Watt und dann Rampen-Steigerung um 10 Watt / min. Nach 5:00 Minuten Abbruch unter einer Last von 68 Watt wegen peripherer Erschöpfung, Borg 6/10.
Grafik 3: Die Gesamtleistungsfähigkeit ist normal (VO2 = 105% der Norm).
Grafik 9: Normoxämie, normale AaDO2. Kein Hinweis auf Diffusionsstörung oder Verteilungsstörung. PETCO2 erniedrigt auf 27 mmHg.
Grafik 7: normales Atemmuster.
Grafik 6: hohes Atemäquivalent für CO2. Relative Hyperventilation. Dem entsprechend hohe Steigung von VE gegen VCO2 in Grafik 4.
Grafik 2: normaler Anstieg des O2-Pulses. Keine LV-Funktionsstörung.
Die Strömungsanalyse ist unauffällig ohne Nachweis einer Strömungslimitierung.
Die Indikation zur systemischen Steroidtherapie ist bei einer Sarkoidose zu stellen bei Lungenfunktionseinschränkung, sehr ausgedehntem pulmonalen Befund oder einer bedrohlichen Beteiligung von extrathorakalen Organen, wie z.B. Augen, Herz, Hirn, Nerven.
Hier ist keine sichere Leistungseinschränkung zu sehen. Aufgrund des erniedrigten PETCO2 und des hohen Atemäquivalentes für CO2 ist eine pulmonale Hypertonie im Rahmen der Sarkoidose möglich. Eine invasive Diagnostik wurde von der Patientin abgelehnt. Die Echokardiographie war nicht richtungsweisend, da keine Trikuspidalinsuffizienz vorlag und eine Bestimmung daher nicht möglich war.
Nach Abwägung der Möglichkeiten wurde schließlich eine kurzfristige systemische Steroidtherapie eingeleitet.
Dr. Holger Klee, 7 / 2012
zum Inhaltsverzeichnis zur Start-Seite
ASD-II mit mittelschwerer PAH
Eine 74-jährige Patientin stellt sich wegen Belastungs-Dyspnoe vor. Weitere Beschwerden werden nicht beklagt. Acht Jahre zuvor war eine Lungenembolie aufgetreten. Seitdem wird eine Antikoagulation durchgeführt. Die Lungenfunktion in Ruhe ist altersentsprechend normal.
Radiologisch stellt sich ein rechts-verbreitertes Herz und verbreiterte Pulmonalarterien-Stämme dar.
Zur Ergänzung der Funktionsdiagnostik wird eine Spiroergometrie im Sitzen durchgeführt, beginnend mit 20 Watt und dann Rampen-Steigerung um 5 Watt / min. Nach 7:00 Minuten Abbruch unter einer Last von 55 Watt wegen Dyspnoe (Borg 4/10).
Grafik 3: Die Gesamtleistungsfähigkeit ist normal (VO2 = 106% der Norm).
Grafik 9: Unter Belastung entwickelt sich eine grenzwertige Hypoxämie, PO2min. 60 mmHg. Die AaDO2 ist mit 54 mmHg erhöht. PET-CO2 abfallen bis auf 25 mmHg.
Grafik 7: normales Atemmuster.
Grafik 6: leicht erhöhte und stetig ansteigende Atemäquivalente.
Grafik 2: normaler Anstieg des O2-Pulses.
Zusammenfassend muss der Verdacht auf eine mittelgradige pulmonale Hypertonie geäußert werden. Echokardiographisch bestätigte sich diese Annahme. Als Ursache hierfür stellt sich ein ASD-II dar.
Dr. Holger Klee, 7 / 2012
zum Inhaltsverzeichnis zur Start-Seite
Atempumpinsuffizienz
Seit 4 Jahren besteht bei einem 52 Jahre alten Patienten eine Belastungsdyspnoe. Ansonsten bestehen keine weiteren Beschwerden.
Der radiologische Befund ist unauffällig.
Die Lungenfunktion, Diffusionsbestimmung und Blutgasanalyse in Ruhe sind unauffällig.
Es wird eine Fahrradergometrie im sitzen durchgeführt, beginnend mit 20 Watt und dann Rampen-Steigerung um 15 Watt / min. Nach 9:30 Minuten Abbruch unter einer Last von 128 Watt wegen peripherer Erschöpfung, Borg 8/10.
Grafik 3: Die Gesamtleistungsfähigkeit ist leicht vermindert (VO2 = ca. 80 % der Norm).
Grafik 9: in Ruhe Normoxämie, unter Belastung signifikante Hypoxämie (Abfall des PO2 um 26 mmHg), normale AaDO2. Anstieg von PETCO2 und PCO2. Belastungsinduzierbare Hypoxämie und Hyperkapnie, aber kein Hinweis auf Diffusionsstörung oder Verteilungsstörung.
Grafik 7: Hypoventilation (Atemfrequenz deutlich unter 20/min).
Grafik 6: niedrige und abfallende Atemäquivalente. Relative Hypoventilation.
Grafik 4: Dem entsprechend falche Steigung von VE gegen VCO2.
Grafik 2: normaler Anstieg des O2-Pulses. Keine LV-Funktionsstörung.
Es liegt eine Hypoventilation mit daraus folgender Hypoxämie und Hyperkapnie vor. Dies lässt sich mit einer Atempumpinsuffizienz vereinbaren. Die ätiologische Zuordnung ist schwierig. Es kann eine Störung des Atemzentrums, eine neurale, neuro-muskuläre oder muskuläre Störung ursächlich sein.
In der Atemmuskel-Messung war Pimax. vermindert und Pi0.1 erhöht. Die Beanspruchung der Atempumpe erhöht, die Kapazität vermindert.
Die Empfindlichkeit des Atemzentrums gegenüber CO2 wird mit einem Rückatmungsversuch getestet. Dabei wird das Atemzeitvolumen in Ruhe bestimmt. Dann Rückatmung über einen geschlossen Beutel zur Anreicherung mit CO2. Hierunter kommte es zu einem Anstieg des CO2, der gemessen werden kann.
Spontan
Rückatmung
PO2
(mmHg)
106
73
PCO2
(mmHg)
33
45
VE
(l/min)
17
21
AF
(/min)
11
12
Bei einem Anstieg des PCO2 um 12 mmHg wäre eine Steigerung des Atemzeitvolumens VE um 12 bis 36 l/min zu erwarten. Tatsächlich steigt das Atemzeitvolumen jedoch nur um 4 l/min an. Die Hypervnetilation ist eindeutig pathologisch (∆VE = 0.33 l/min/mmHg). Damit ist eine mangelnde Empfindlichkeit gegenüber CO2 nachgewiesen.
Zusammenfassend fanden wir also eine Ströung der Atempumpfunktion (welche in der Lokalisation noch nicht definiert wurde) und eine mutmaßlich sekundäre Abnahme der Empfindlichkeit des Atemzentrums gegenüber CO2 (mutmaßlich durch Gewöhnung an hohe CO2-Werte unter Belastung).
Dr. Holger Klee, 7 / 2012
zum Inhaltsverzeichnis zur Start-Seite
Atempumpinsuffizienz - 2
Zum Vergleich hier nochmals ein Patient mit bekannter Zwerchfellparese (Atempumpinsuffizienz). Man sieht in Grafik 9 eine stetige Zunahme des PET-CO2 (alveoläre Hypoventilation). Der Patient wird unter Belastung zunehmend hyperkapnisch (Hier nicht gezeigt).
Dr. Holger Klee, 8 / 2012
zum Inhaltsverzeichnis zur Start-Seite
Marathonläufer Dekonditionierung und erschöpfter Bicarbonatpuffer ?
Ein 56-jähriger Marathonläufer stellt sich mehrfach in der pneumologischen Ambulanz vor. Die Leistungfähigkeit nehme spürbar ab. Insbesondere nach mehr als 20 km Wegstrecke sei kein adäquates Tempo mehr zu erreichen. Seit vielen Jahren ist ein polycystische Nierenerkrankung bekannt, jetzt mit chronischer Niereninsuffizienz Stadium III (Krea 2.7 mg/dl) und sekundärem arteriellem Hypertonus. Die Ruhelungenfunktion, Diffusionsmessung und Blutgasanalyse in Ruhe sind normal.
Der radiologische Befund ist unauffällig.
Bei der ersten Vorstellung wird eine Fahrrad-Spiroergometrie im Sitzen durchgeführt, beginnend mit 20 Watt und dann Rampen-Steigerung um 25 Watt / min. Nach 8:29 Minuten Abbruch unter einer Last von 225 Watt wegen peripherer Erschöpfung (Borg 6/10).
Grafik 3: Die Gesamtleistungsfähigkeit ist überdurchschnittlich (VO2 = 113% der Norm, VO2/kg 34 ml/min/kg).
Grafik 9: Normoxämie, normale AaDO2.
Grafik 7: normales Atemmuster.
Grafik 6: normale Atemäquivalente.
Grafik 2: normaler Anstieg des O2-Pulses.
Zusammenfassend war die Leistungsfähigkeit überdruchschnittlich. Eine Einschränkung war nicht zu erkennen.
Ein Jahr später stellt sich der Patient wieder vor. Die Leistungsfähigkeit habe weiter abgenommen. Die Funktionsuntersuchungen in Ruhe sind wiederum normal.
Bei der zweiten Vorstellung wird eine Fahrrad-Spiroergometrie im Sitzen durchgeführt, beginnend mit 0 Watt für 2 Minuten und dann Rampen-Steigerung um 25 Watt / min. Nach 10:42 Minuten Abbruch unter einer Last von 215 Watt wegen peripherer Erschöpfung (Borg 7/10).
Grafik 3: Die Gesamtleistungsfähigkeit ist noch normal (VO2 = 85% der Norm, VO2/kg 30 ml/min/kg), hat jedoch im Vergleich um 800 ml/min abgenommen.
Grafik 9: Normoxämie, normale AaDO2.
Grafik 7: normales Atemmuster.
Grafik 6: normale Atemäquivalente.
Grafik 2: normaler Anstieg des O2-Pulses.
Auffällig ist ein hoher negativer base excess, in Ruhe von -4.1, unter maximaler Last bis -8.4.
Zusammenfassend hat die Leistungsfähigkeit im Verlauf eines Jahres merklich abgenommen. Neben einer (möglicherweise sekundären) Dekonditionierung ist eine Einschränkung des Bicarbonat-Puffers bei chronischer Niereninsuffizienz zu diskutieren.
Sehr deutlich macht dieser Fall, dass eine Leistungsbeurteilung nicht nur ein Vergleich mit allgemeinen Normwerten erfordert, sondern manchmal auch ein intra-individueller Vergleich mit persönlichen Vorwerten notwendig ist.
Dr. Holger Klee, 7 / 2012
zum Inhaltsverzeichnis zur Start-Seite